หมอมนูญเผยอุทาหรณ์ คนไข้ชายมีไข้เรื้อรัง 2 สัปดาห์ น้ำหนักลดผิดปกติ ตรวจพบ ฝีในตับ 6 เซนติเมตร เตือนผู้ป่วยเบาหวานต้องระวังเป็นพิเศษ
.jpg)
ภาพจาก เฟซบุ๊ก หมอมนูญ ลีเชวงวงศ์ FC
วันที่ 11 มีนาคม 2569 นพ.มนูญ ลีเชวงวงศ์ แพทย์เฉพาะทางด้านโรคระบบการหายใจ โรงพยาบาลวิชัยยุทธ โพสต์ผ่านเฟซบุ๊ก หมอมนูญ ลีเชวงวงศ์ FC เผยเคสคนไข้ชาย มีอาการไข้เรื้อรัง เบื่ออาหาร และน้ำหนักลด ซึ่งดูเหมือนเป็นอาการทั่วไปที่หลายคนอาจมองข้าม แต่ในบางกรณีอาจซ่อนความผิดปกติบางอย่างภายในร่างกายที่ไม่สามารถสังเกตได้จากภายนอก
ภาพจาก เฟซบุ๊ก หมอมนูญ ลีเชวงวงศ์ FC
โพสต์ดังกล่าว ระบุว่า ผู้ป่วยชายอายุ 56 ปี มีไข้ต่ำ ๆ 2 สัปดาห์ เบื่ออาหาร กินอาหารไม่อร่อย น้ำหนักลด 2 กิโลกรัม ไม่ปวดท้อง ไม่ได้เดินทาง ไม่กินอาหารดิบ ๆ สุก ๆ ไม่กินเหล้า ไม่สูบบุหรี่ เป็นโรคเบาหวาน
ตรวจร่างกาย อุณหภูมิ 38.5 องศาเซลเซียส คลำท้อง ตับไม่โต ไม่เจ็บ
ภาพจาก เฟซบุ๊ก หมอมนูญ ลีเชวงวงศ์ FC
เจาะเลือด เม็ดเลือดขาวในเลือดสูง 15,050 ค่า alkaline phosphatase สูง 564 ส่งเลือดเพาะเชื้อ ไม่ขึ้นเชื้อแบคทีเรีย
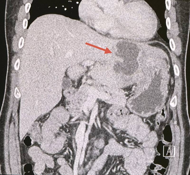
ทำอัลตราซาวด์ช่องท้อง สงสัยฝีในตับข้างซ้าย ขนาด 5.2 × 4 เซนติเมตร ทำคอมพิวเตอร์ช่องท้อง เห็นฝีขนาดใหญ่ในตับด้านซ้าย ขนาด 6.6 × 4.3 เซนติเมตร
ภาพจาก เฟซบุ๊ก หมอมนูญ ลีเชวงวงศ์ FC
วินิจฉัย: ฝีในตับขนาดใหญ่ในคนที่เป็นโรคเบาหวาน
ทำการเจาะฝีในตับ ได้หนองข้นสีเหลือง 70 ซีซี ใส่สายระบายหนอง คาไว้ 5 วัน ถอดสายเมื่อไม่มีหนองไหลออกมาอีก เพาะเชื้อจากหนองในตับขึ้นเชื้อแบคทีเรีย Klebsiella pneumoniae ไวต่อยา Ceftriaxone และยา Levofloxacin
ให้ยาปฏิชีวนะ Ceftriaxone ทางเส้นเลือดตั้งแต่วันแรกที่เข้านอนในโรงพยาบาล ไข้ลง กินอาหารได้มากขึ้น อยู่โรงพยาบาล 7 วัน ให้กลับบ้านได้ นัดมาฉีดยา Ceftriaxone วันละครั้งอีก 2 สัปดาห์ หลังจากนั้นเปลี่ยนเป็นยากิน คงต้องให้การรักษาฝีในตับด้วยยาปฏิชีวนะอย่างน้อย 2 เดือน
ขอบคุณข้อมูลจาก
เฟซบุ๊ก หมอมนูญ ลีเชวงวงศ์ FC





