Kapook
HEALTH
เมนู
หน้าแรก
วิธีลดน้ำหนัก
ออกกำลังกาย
สุขภาพจิต
โรค
เตือนภัย
ข่าวสุขภาพ
คลิป
หน้าแรก
วิธีลดน้ำหนัก
ออกกำลังกาย
สุขภาพจิต
โรค
เตือนภัย
ข่าวสุขภาพ
คลิป
อ่านเนื้อหาเต็ม
แชร์หน้านี้
ความคิดเห็นเรื่อง
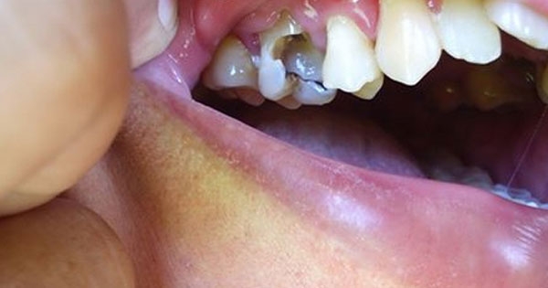
น้ำเกลือไม่ช่วยระงับฟันผุ เตือนอย่าเชื่อข้อมูลมั่ว อันตรายถึงชีวิต !
2015-07-27 10:00:30