นพ.อารักษ์ วงศ์วรชาติ ผอ.รพ.สิชล เผยเคสผู้ป่วยปวดท้อง-ท้องเสีย สลับท้องติดกัน 3 สัปดาห์ ก่อนพบเป็นโรคลำไส้กลืนกัน โชคดีไม่ถึงขั้นติดเชื้อในกระแสเลือด
วันที่ 25 มิถุนายน 2565 นพ.อารักษ์ วงศ์วรชาติ ผู้อำนวยการโรงพยาบาลสิชล จ.นครศรีธรรมราช โพสต์ผ่านเฟซบุ๊ก Arak Wongworachat ออกมาเล่าเรื่องราวชวนให้หลายคนหันมาใส่ใจดูแลร่างกาย และหมั่นสังเกตถึงสัญญาณผิดปกติที่เกิดขึ้นกับตัวเรา เพราะไม่แน่ว่าอาการที่เกิดขึ้นอาจจะมาจากโรคลำไส้กลืนกัน ซึ่งพบได้ในทุกวัยทั้งเด็กเล็ก เด็กโต และผู้ใหญ่
เคสดังกล่าวเกิดขึ้นกับผู้สูงอายุ วัย 68 ปี เข้าโรงพยาบาลสิชลด้วยอาการคลื่นไส้ อาเจียน ปวดท้องเป็นพัก ๆ ท้องเสีย ท้องผูกสลับกัน มีอาการติดต่อกันนาน 3 สัปดาห์ ตอนแรกผู้ป่วยคิดว่าน่าจะมาจากอาการอาหารไม่ย่อย โรคกระเพาะ จึงตัดสินใจเข้ามารักษาดังกล่าว
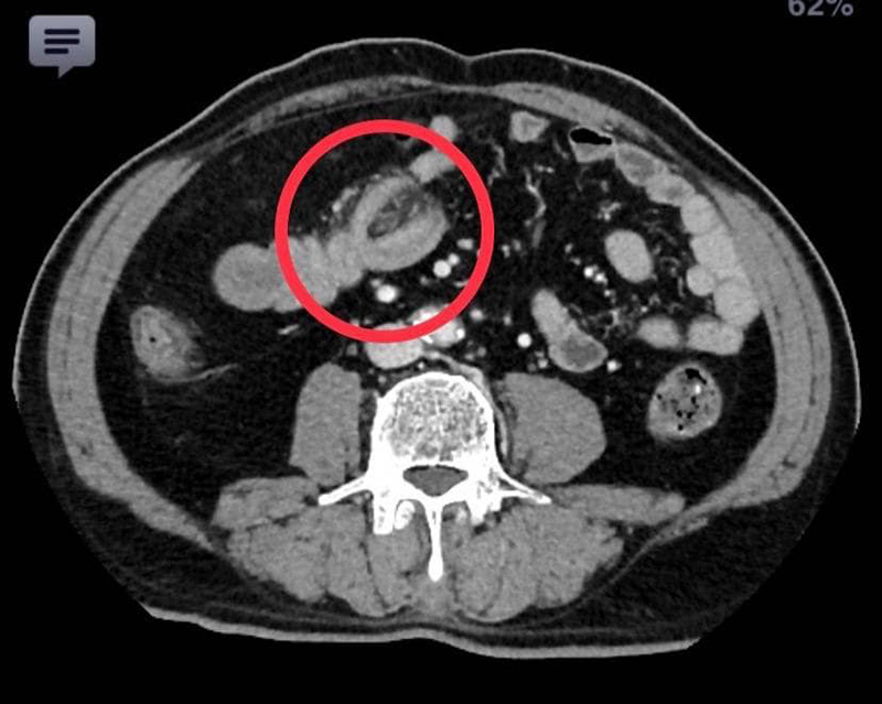
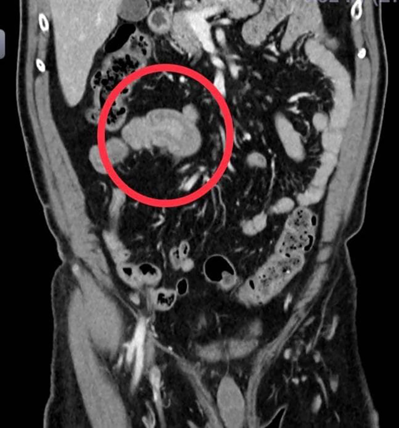
แพทย์ห้องฉุกเฉิน เห็นว่าผู้ป่วยเป็นผู้สูงอายุและเป็นมานาน ควรจะได้รับการตรวจวินิจฉัยโดยละเอียด จึงปรึกษาอายุรแพทย์ ศัลยแพทย์ และรังสีแพทย์ ไปพร้อม ๆ กัน จนได้ภาพรังสีจากเอกซเรย์คอมพิวเตอร์ออกมา พบว่ามีส่วนของลำไส้เล็กส่วนปลายกลืนกัน จึงวางแผนรักษาโดยการผ่าตัดทันที
นพ.อารักษ์ มองว่า กรณีนี้โชคดีที่ที่ได้รับการผ่าตัดก่อนที่ลำไส้จะทะลุ หากผ่าตัดไม่ทันเวลาจะทำให้เกิดการอุดตันของลำไส้ ลำไส้ส่วนที่อุดตันถูกบีบรัดกันจนขาดเลือดไปเลี้ยง ส่งผลให้เนื้อเยื่อลำไส้เน่าตาย หากไม่ได้รับการรักษาผ่าตัดส่วนที่เน่าออก และตัดต่อลำไส้ใหม่ จะนำไปสู่การทะลุและฉีกขาดของผนังลำไส้ จนเกิดการติดเชื้อในช่องท้อง ติดเชื้อในกระแสเลือดและเสียชีวิตได้ในที่สุด จึงอยากฝากให้ทุกคนหมั่นใส่ใจ ดูแลสุขภาพด้วย
สำหรับสาเหตุของลำไส้กลืนกัน ทางการแพทย์ยังไม่สามารถระบุสาเหตุที่แน่ชัดได้ แต่การเกิดโรคลำไส้กลืนกันในเด็กอาจมีสาเหตุมาจากการติดเชื้อไวรัส ลำไส้อักเสบ การผ่าตัดลำไส้ มีติ่งเนื้อหรือก้อนเนื้องอกในลำไส้ ที่ส่งผลให้ลำไส้เคลื่อนตัวผิดปกติ ในกรณีของเด็กโตและผู้ใหญ่อาจมีสาเหตุมาจากพังผืดในลำไส้ การผ่าตัดที่เกี่ยวข้องกับลำไส้ การติดเชื้อจากโรคต่าง ๆ เป็นต้น
วันที่ 25 มิถุนายน 2565 นพ.อารักษ์ วงศ์วรชาติ ผู้อำนวยการโรงพยาบาลสิชล จ.นครศรีธรรมราช โพสต์ผ่านเฟซบุ๊ก Arak Wongworachat ออกมาเล่าเรื่องราวชวนให้หลายคนหันมาใส่ใจดูแลร่างกาย และหมั่นสังเกตถึงสัญญาณผิดปกติที่เกิดขึ้นกับตัวเรา เพราะไม่แน่ว่าอาการที่เกิดขึ้นอาจจะมาจากโรคลำไส้กลืนกัน ซึ่งพบได้ในทุกวัยทั้งเด็กเล็ก เด็กโต และผู้ใหญ่
เคสดังกล่าวเกิดขึ้นกับผู้สูงอายุ วัย 68 ปี เข้าโรงพยาบาลสิชลด้วยอาการคลื่นไส้ อาเจียน ปวดท้องเป็นพัก ๆ ท้องเสีย ท้องผูกสลับกัน มีอาการติดต่อกันนาน 3 สัปดาห์ ตอนแรกผู้ป่วยคิดว่าน่าจะมาจากอาการอาหารไม่ย่อย โรคกระเพาะ จึงตัดสินใจเข้ามารักษาดังกล่าว
แพทย์ห้องฉุกเฉิน เห็นว่าผู้ป่วยเป็นผู้สูงอายุและเป็นมานาน ควรจะได้รับการตรวจวินิจฉัยโดยละเอียด จึงปรึกษาอายุรแพทย์ ศัลยแพทย์ และรังสีแพทย์ ไปพร้อม ๆ กัน จนได้ภาพรังสีจากเอกซเรย์คอมพิวเตอร์ออกมา พบว่ามีส่วนของลำไส้เล็กส่วนปลายกลืนกัน จึงวางแผนรักษาโดยการผ่าตัดทันที
นพ.อารักษ์ มองว่า กรณีนี้โชคดีที่ที่ได้รับการผ่าตัดก่อนที่ลำไส้จะทะลุ หากผ่าตัดไม่ทันเวลาจะทำให้เกิดการอุดตันของลำไส้ ลำไส้ส่วนที่อุดตันถูกบีบรัดกันจนขาดเลือดไปเลี้ยง ส่งผลให้เนื้อเยื่อลำไส้เน่าตาย หากไม่ได้รับการรักษาผ่าตัดส่วนที่เน่าออก และตัดต่อลำไส้ใหม่ จะนำไปสู่การทะลุและฉีกขาดของผนังลำไส้ จนเกิดการติดเชื้อในช่องท้อง ติดเชื้อในกระแสเลือดและเสียชีวิตได้ในที่สุด จึงอยากฝากให้ทุกคนหมั่นใส่ใจ ดูแลสุขภาพด้วย
สำหรับสาเหตุของลำไส้กลืนกัน ทางการแพทย์ยังไม่สามารถระบุสาเหตุที่แน่ชัดได้ แต่การเกิดโรคลำไส้กลืนกันในเด็กอาจมีสาเหตุมาจากการติดเชื้อไวรัส ลำไส้อักเสบ การผ่าตัดลำไส้ มีติ่งเนื้อหรือก้อนเนื้องอกในลำไส้ ที่ส่งผลให้ลำไส้เคลื่อนตัวผิดปกติ ในกรณีของเด็กโตและผู้ใหญ่อาจมีสาเหตุมาจากพังผืดในลำไส้ การผ่าตัดที่เกี่ยวข้องกับลำไส้ การติดเชื้อจากโรคต่าง ๆ เป็นต้น










