

เรียบเรียงข้อมูลโดยกระปุกดอทคอม
ขอขอบคุณภาพประกอบจาก overoll.com
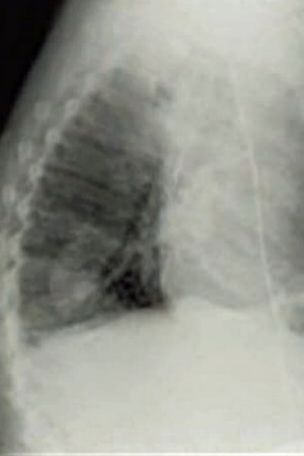
          เมื่อวันที่ 12 สิงหาคมที่ผ่านมา สำนักข่าวต่างประเทศรายงานว่า เกิดเรื่องสุดฮือฮาขึ้นในวงการแพทย์ เมื่อนายรอน สวีเดน คุณลุงวัย 75 ปี ได้เข้าพบแพทย์เพื่อขอตรวจมะเร็ง หลังจากรู้สึกว่าตัวเองหายใจไม่ค่อยออกมากว่า 1 เดือน และเมื่อแพทย์ได้เอ็กซ์เรย์ตรวจความผิดปกติของระบบทางเดินหายใจ ก็พบว่ามีถั่วเจริญเติบโตอยู่ในปอดของเขา หาใช่ก้อนมะเร็งร้ายแต่อย่างใด กรณีนี้ก็เลยทำให้บรรดาทีมแพทย์ต่างอึ้งไปตาม ๆ กัน


          งานนี้ คุณลุงรอน ได้เปิดเผยว่า ในตอนแรกที่เขารู้สึกเริ่มหายใจติด ๆ ขัด ๆ เขาคิดว่าตัวเองต้องเป็นมะเร็งแน่ ๆ และเตรียมใจรับฟังผลตรวจมาแล้ว แต่เมื่อมาหาหมอแล้วพบว่าจริง ๆ แล้วมีต้นถั่วเจริญเติบโตอยู่ในปอด ก็รู้สึกประหลาดใจมากในตอนแรก เพราะต้นถั่วมีขนาดถึง 1 นิ้วครึ่งเลยทีเดียว แต่ตอนนี้มันกลายเป็นเรื่องน่าตลกสำหรับเขาไปแล้ว และเขาก็โล่งใจมากที่ไม่ได้เป็นมะเร็งอย่างที่ตัวเองคิด
          ส่วนทางด้านแพทย์ผู้รักษาคุณลุงรอน ได้กล่าวว่า คุณลุงรอนน่าจะกินเมล็ดถั่วเข้าไป แต่ถั่วเจ้ากรรมกลับไม่ลงไปในกระเพาะอาหาร กลับไปติดอยู่ที่ปอด ความชื้นและอุณหภูมิอุ่น ๆ ในปอด ก็เลยทำให้เมล็ดถั่วเจริญเติบโตเป็นต้นถั่วขึ้นมาได้ 
 
          
        










