

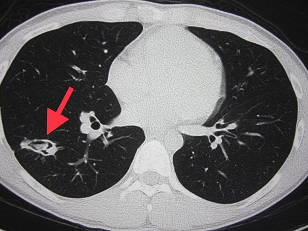
เมื่อวันที่ 26 กุมภาพันธ์ 2561 นพ.มนูญ ลีเชวงวงศ์ หัวหน้าห้องไอซียู เฉพาะทางด้านโรคระบบการหายใจ ผู้ป่วยหนัก และโรคผู้สูงอายุ ประจำโรงพยาบาลวิชัยยุทธ ได้โพสต์ผ่านเพจเฟซบุ๊ก หมอมนูญ ลีเชวงวงศ์ FC เผยถึงเรื่องราวอุทาหรณ์เกี่ยวกับความเสี่ยงจากการได้รับสปอร์จากเห็ดและเชื้อราจากนกพิราบ ซึ่งส่งผลให้เกิดฝีในปอด โดยระบุข้อความว่า เมื่อ 5 ปี ก่อน ตนได้พบกับผู้ป่วยชายไทย อายุ 23 ปี กินเห็ดสด magic mushroom 6 ดอก หรือคนไทยเรียกว่า เห็ดขี้ควาย
นพ.มนูญ อธิบายว่า คนไข้คนนี้มีเห็ดในปอดจากการสูดดมสปอร์ของเห็ด เนื่องจากสปอร์เห็ดมีขนาดเล็กมากจึงสามารถเข้าสู่ปอดได้ อีกทั้งคนไข้ยังหายใจเอาเชื้อราจากขี้นกพิราบเข้าไปด้วย ทำให้ติดเชื้อถึง 2 ชนิดพร้อมกัน ซึ่งเกิดขึ้นน้อยมากและยังไม่มีใครรายงานมาก่อน สำหรับการรักษาจำเป็นต้องผ่าตัด เพราะไม่มียารักษาโรคจากเห็ด โดยได้ให้ยารักษาเชื้อราจากขี้นกพิราบต่อจนครบ 1 ปี สรุปจากการติดตามผู้ป่วยมา 4 ปี ปัจจุบันหายเป็นปกติ ดังนั้นจึงไม่ควรสูดดมเห็ดสดทุกชนิด เพราะเห็ดอาจทำให้เกิดฝีในปอด พร้อมทั้งหลีกเลี่ยงอยู่ใกล้ขี้นกพิราบด้วย








